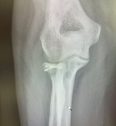
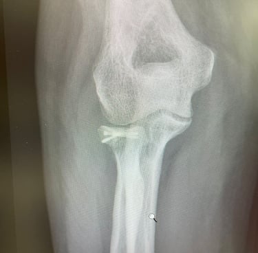
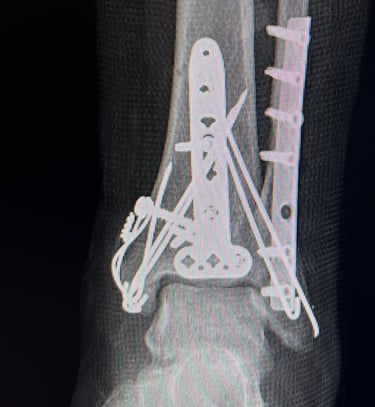
Traumatologia
Mi occupo del trattamento traumatico sia in forma conservativa sia chirurgica. Tratto fratture, lussazioni, lesioni dei legamenti e dei tendini, con l’obiettivo di ripristinare la funzionalità articolare, ridurre il dolore e favorire un rapido ritorno alle attività quotidiane e sportive.








Per informazioni, richieste di consulenza o prenotazioni di visite specialistiche ortopediche, è possibile contattarmi utilizzando i recapiti indicati di seguito.
Contatti
Tel
+39 3339073184
